Siêu âm hình thái thai nhi: khi nào nên thực hiện?
Siêu âm hình thái thai nhi: khi nào nên thực hiện?

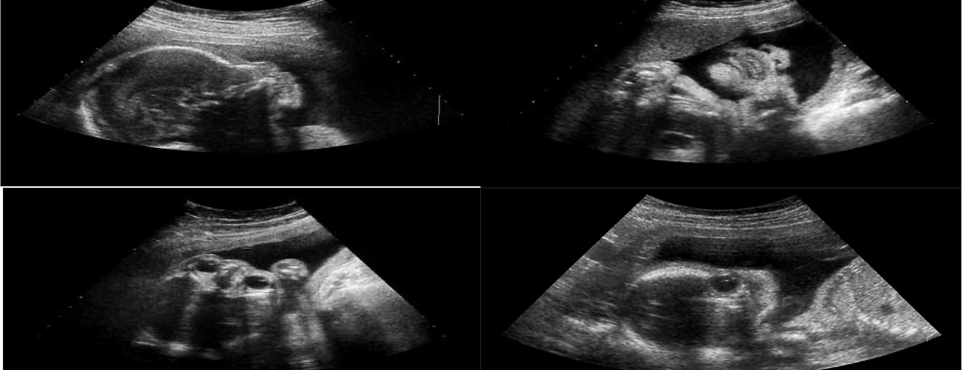
Siêu âm hình thái thai nhi là một kỹ thuật chẩn đoán hình ảnh quan trọng trong quá trình theo dõi thai kỳ, giúp đánh giá chi tiết cấu trúc và sự phát triển của thai nhi. Với những bậc phụ huynh đang chuẩn bị cho hành trình làm cha mẹ, việc hiểu rõ tầm quan trọng của siêu âm hình thái là vô cùng cần thiết. Công nghệ siêu âm ngày nay cho phép các bác sĩ nhìn sâu vào bên trong để kiểm tra từng chi tiết nhỏ nhất, từ não, tim, các cơ quan nội tạng tới khung xương của bé, đảm bảo phát hiện sớm các dị tật bẩm sinh. Cảm giác kỳ diệu khi lần đầu tiên nhìn thấy hình ảnh con yêu trên màn hình là khoảnh khắc không thể quên đối với nhiều phụ huynh, nó như mở ra cánh cửa để kết nối với thế giới bên trong của thai nhi. Các dị tật lớn thường có thể phát hiện sớm thông qua siêu âm, giúp bác sĩ và gia đình có những quyết định thông minh và kịp thời trong việc chăm sóc sức khỏe cho cả mẹ và con.
Giới thiệu về siêu âm hình thái thai nhi
Siêu âm hình thái thai nhi là phương pháp không xâm lấn sử dụng sóng siêu âm tần số cao để tạo ra hình ảnh chi tiết về cấu trúc cơ thể thai nhi. Phương pháp này không chỉ giúp xác định kích thước và trưởng thành của tam thể tích thai nhi mà còn giúp bác sĩ quan sát và phân tích các bộ phận cơ quan một cách rõ ràng. Nhiều nghiên cứu y học đã chỉ ra rằng, thực hiện đầy đủ các đợt siêu âm hình thái có thể tăng cường tỷ lệ phát hiện sớm các dị tật như dị dạng tim, cấu trúc xương hoặc các vấn đề nhiễm sắc thể. Những hình ảnh rõ nét từ máy siêu âm như mở ra một bức tranh sống động về cuộc sống của thai nhi bên trong bụng mẹ, cho phép bác sĩ đưa ra những đánh giá chính xác và kịp thời nhất.
Đặc biệt, trong hành trình mang thai, siêu âm hình thái là một phần không thể thiếu trong các đợt kiểm tra định kỳ. Với những bà mẹ lần đầu trải nghiệm, đây thực sự là một trải nghiệm đầy xúc động. Những khoảnh khắc nhìn thấy con yêu đang "nhảy múa" trong bụng mẹ, thấy từng nhịp tim đập hay tay chân đang co duỗi là những ký ức vô giá. Như một bức tranh y khoa riêng biệt, mỗi hình ảnh siêu âm không chỉ phản ánh sự phát triển của thai nhi mà còn mang lại tâm lý yên tâm cho bà mẹ trẻ khi biết con mình đang phát triển khỏe mạnh.
Hơn nữa, công nghệ siêu âm hiện đại còn đảm bảo an toàn tuyệt đối cho cả mẹ và con, không gây đau đớn hay bất cứ tác động tiêu cực nào. Khả năng tạo ra hình ảnh chi tiết và sắc nét đến như vậy đã vượt xa nhiều phương pháp kiểm tra khác, đặc biệt khi so sánh với CT scan hay MRI, vốn tiềm ẩn nhiều nguy cơ về tia bức xạ. Một ưu điểm đáng kể nữa của siêu âm hình thái là chi phí thực hiện thấp, dễ tiếp cận cho hầu hết các bà mẹ trong quá trình mang thai.
Phương pháp siêu âm hình thái không chỉ hữu ích trong việc theo dõi và đánh giá sức khỏe thai nhi mà còn đóng vai trò như một "cẩm nang" giúp bà mẹ chuẩn bị tốt nhất cho cuộc sống mới cùng con yêu.
Thời điểm thực hiện siêu âm hình thái thai nhi

Thời điểm thực hiện siêu âm hình thái thai nhi đóng vai trò cực kỳ quan trọng để đảm bảo kết quả chẩn đoán chính xác và hiệu quả nhất. Từ đầu thai kỳ, siêu âm hình thái đã được xem như một "cú đánh đầu tiên" quan trọng để xác định trạng thái phát triển của thai nhi. Tầm quan trọng của việc siêu âm đúng thời điểm không chỉ giúp phát hiện sớm các dị tật mà còn hỗ trợ bà mẹ trong việc lập kế hoạch chăm sóc sức khỏe hợp lý. Đặc biệt với siêu âm ở tuần 11-14 và 18-22, đây chính là thời điểm lý tưởng để kiểm tra các chỉ số cơ bản và kịp thời xử lý các vấn đề phát sinh.
Tại sao nên thực hiện siêu âm ở tuần 11 – 14?

Siêu âm hình thái thai nhi từ tuần 11 đến 14 là một bước chuẩn bị quan trọng cho giai đoạn đầu của thai kỳ. Đây là thời điểm lý tưởng để bắt đầu đánh giá tổng quan về cấu trúc cơ thể và phát triển của thai nhi. Giải thích một cách chi tiết, đây là thời điểm mà bác sĩ có thể đo độ mờ da gáy của thai nhi, một dấu hiệu quan trọng trong việc phát hiện các dị tật nhiễm sắc thể phổ biến như hội chứng Down. Đặc biệt, siêu âm trong giai đoạn này có khả năng xác định chính xác hơn về số lượng thai, bao gồm thai đôi hay thai ba, từ đó giúp điều chỉnh chế độ chăm sóc và dinh dưỡng cho phù hợp.
Trong thời điểm từ tuần 11 đến tuần 14, thai nhi đã phát triển đủ để bác sĩ có thể nhìn thấy và đo lường các yếu tố sinh học quan trọng, từ kích thước xương, phản xạ, đến sự phát triển của hệ thống thần kinh. Những chỉ số này giúp bác sĩ đánh giá phần nào về sức khỏe của thai nhi cũng như dự đoán được các nguy cơ tiềm ẩn. Theo nghiên cứu, khoảng 80% các trường hợp dị tật bẩm sinh nghiêm trọng có thể được phát hiện trong giai đoạn này, nhờ đó các bác sĩ có thể chuẩn bị các phương án xử lý kịp thời.
Hơn nữa, đây cũng là khoảng thời gian để bác sĩ xác định chính xác tuổi thai, điều quan trọng cho việc theo dõi quá trình phát triển của thai nhi trong những tuần tiếp theo. Như một chiếc cầu nối thời gian, việc định rõ tuổi thai còn giúp mẹ bầu có thể tổ chức lịch trình theo dõi thai kỳ tiếp theo một cách chính xác và hợp lý. Cảm giác từ siêu âm ở giai đoạn đầu tiên này thường khiến nhiều bà mẹ cảm nhận sự kết nối mạnh mẽ hơn với thai nhi, khi từng chi tiết của con yêu được hiện lên trên màn hình rõ nét.
Đối với nhiều bố mẹ, lần đầu tiên nhìn thấy hình ảnh của con qua siêu âm như mở ra một trang sách mới đầy bí ẩn và tuyệt vời về cuộc sống sắp tới. Những giây phút ấy giúp củng cố thêm quyết tâm của cả hai trong việc hỗ trợ, chăm sóc cho thai nhi một cách toàn diện nhất, bởi họ biết rằng mình đã có những "hướng dẫn" đầu tiên từ hình ảnh siêu âm để đồng hành cùng con yêu chào đời.
Ý nghĩa của siêu âm hình thái thai nhi ở tuần 18 – 22

Siêu âm hình thái thai nhi trong khoảng thời gian từ tuần 18 đến 22 được coi là "thời điểm vàng" để đánh giá toàn diện cấu trúc và sự phát triển của thai nhi. Với sự hỗ trợ của công nghệ siêu âm tiên tiến, bác sĩ có thể kiểm tra gần như đầy đủ các cơ quan quan trọng của thai nhi như não, tim, thận và cột sống. Phương pháp này giúp xác định chính xác hơn các dị tật bẩm sinh để đưa ra phương án can thiệp kịp thời nếu cần thiết.
Thật vậy, siêu âm ở tuần 18-22 không chỉ đơn thuần là việc đo lường các chỉ số sinh học, mà còn là một "lăng kính" giúp phụ huynh nhìn về tương lai sức khỏe của con yêu. Trong giai đoạn này, bác sĩ có thể lắng nghe nhịp tim của thai nhi lần đầu, một khoảnh khắc khiến nhiều bậc cha mẹ vỡ òa cảm xúc. Không chỉ có vậy, các chỉ số như đường kính lưỡng đỉnh (BPD), chiều dài xương đùi (FL) hay đường kính đầu (HC) cũng được ghi nhận, từ đó tạo cái nhìn tổng quát về sự phát triển của bé.
Một trong những ý nghĩa lớn của siêu âm ở thời điểm này là khả năng xác định giới tính thai nhi. Đối với nhiều bố mẹ, điều này không chỉ là điều vui chơi mừng mà còn là yếu tố quan trọng trong việc chuẩn bị tâm lý và vật chất cho bé yêu. Có thể nói, siêu âm ở giai đoạn này như là việc mở một "cánh cửa" để nhìn vào hành trình phát triển của thai nhi, từ đó phụ huynh có được những đánh giá cần thiết để tiếp tục đồng hành và chăm sóc.
Điều đáng chú ý là một số vấn đề phức tạp như dị tật tim, hay các dị tật não cũng có thể được phát hiện thông qua siêu âm ở giai đoạn này. Nhờ đó, các bác sĩ có thể hướng dẫn và tư vấn cho phụ huynh những bước tiếp theo một cách cụ thể và chính xác, tạo nền tảng vững chắc cho sự phát triển của bé trong những tháng cuối của thai kỳ. Cảm giác được tham gia vào mỗi giai đoạn phát triển của con thông qua những hình ảnh sống động và chân thực quý giá, siêu âm hình thái ở tuần 18-22 thực sự mang lại niềm tin và hy vọng cho mọi bậc cha mẹ.
Lợi ích của siêu âm hình thái thai nhi từ tuần 30 – 32

Siêu âm hình thái thai nhi từ tuần 30 đến 32 được coi là một mốc quan trọng trong quản lý thai kỳ nhằm đảm bảo sự phát triển bình thường và an toàn cho thai nhi. Đây là khoảng thời gian mà thai nhi đã trưởng thành đáng kể, cho phép bác sĩ kiểm tra sự phát triển muộn một cách chi tiết. Bằng cách sử dụng công nghệ siêu âm tiên tiến, các bác sĩ có thể xác định cân nặng, chiều dài và kiểm tra các chỉ số phát triển khác.
Một lợi ích lớn của siêu âm trong giai đoạn này là việc đánh giá vị trí ngôi thai. Xác định vị trí thai là rất quan trọng để đảm bảo rằng thai nhi có thể sinh ra một cách an toàn và thuận lợi. Trong trường hợp thai nhi chưa ở vị trí thuận, bác sĩ có thể đề xuất những phương pháp an toàn để giúp thai nhi di chuyển về vị trí phù hợp hơn. Cảm giác yên tâm khi biết chắc chắn rằng con yêu đang ở vị trí tốt nhất để chào đời là điều không thể thay thế với mỗi bậc cha mẹ.
Ngoài ra, siêu âm tuần 30-32 giúp phát hiện sớm những dị tật bẩm sinh mà có thể chưa được thấy rõ trong các lần siêu âm trước đó. Với khả năng phát hiện sớm, phụ huynh và bác sĩ có thể cùng nhau lập kế hoạch can thiệp và chăm sóc kịp thời, giảm thiểu tối đa các rủi ro và đảm bảo sức khỏe cho cả mẹ và bé.
Cuối cùng, siêu âm trong giai đoạn này còn giúp kiểm tra và đánh giá lượng nước ối, một chỉ số quan trọng đảm bảo môi trường sống lý tưởng cho thai nhi trong tử cung. Việc điều chỉnh chế độ ăn uống, sinh hoạt cũng như sự can thiệp y tế, nếu cần thiết, sẽ được thực hiện dựa trên kết quả siêu âm này, từ đó duy trì một thai kỳ khỏe mạnh. Được đồng hành cùng các bác sĩ trong hành trình chuẩn bị đón bé chào đời, siêu âm từ tuần 30 đến 32 không chỉ là công cụ y tế mà còn tạo ra sự kết nối sâu sắc hơn giữa mẹ và bé trong những ngày tháng cuối của thai kỳ.
Cách thức thực hiện siêu âm hình thái thai nhi
Cách thức thực hiện siêu âm hình thái thai nhi đóng vai trò rất quan trọng đảm bảo cho việc thu thập các thông tin cần thiết một cách chi tiết và chính xác. Việc chuẩn bị kỹ lưỡng trước khi siêu âm tạo điều kiện thuận lợi cho quá trình kiểm tra, đạt được độ chính xác cao nhất có thể. Bên cạnh đó, để quá trình siêu âm diễn ra trôi chảy, mẹ bầu cần tuân thủ các hướng dẫn của bác sĩ nhằm đảm bảo hiệu quả tối ưu của các chỉ số và hình ảnh thu thập được.
Các bước chuẩn bị trước khi siêu âm
Mỗi đợt siêu âm đều có những yêu cầu nhất định cần thực hiện trước đó để đảm bảo kết quả chính xác nhất. Đầu tiên, đối với siêu âm qua đường bụng, mẹ bầu nên uống đủ nước để làm đầy bàng quang. Điều này giúp tạo điều kiện thuận lợi cho làn sóng siêu âm truyền qua cơ thể và mang lại hình ảnh rõ nét hơn. Điều này có thể gây những khó chịu nhỏ nhưng lại rất cần thiết để cung cấp những kết quả đáng tin cậy. Trong khi đó, với siêu âm qua đường âm đạo, đặc biệt là trong các tuần đầu thai kỳ, mẹ bầu có thể được yêu cầu làm rỗng bàng quang để không làm cản trở quan sát tử cung.
Bước tiếp theo là việc mặc quần áo rộng rãi, dễ dàng cho việc tiếp cận vùng bụng. Điều này không chỉ tạo sự thoải mái cho mẹ mà còn giúp bác sĩ dễ dàng thao tác trong quá trình siêu âm. Bên cạnh đó, mẹ bầu cũng nên chuẩn bị trước một số câu hỏi hoặc thắc mắc muốn được bác sĩ giải đáp. Đây là cơ hội tốt để phụ huynh có thể hiểu rõ hơn về tình trạng thai kỳ của mình cũng như những điều cần chú ý trong các tuần tiếp theo.
Một điều không thể thiếu chính là biểu hiện tâm lý thư giãn, thoải mái trước khi bước vào phòng siêu âm. Đây không chỉ là một phương pháp hỗ trợ hình ảnh rõ nét hơn mà còn giúp mẹ bầu cảm thấy tự tin và an tâm hơn. Loại bỏ những lo lắng không cần thiết sẽ giúp quá trình siêu âm diễn ra mượt mà và hiệu quả hơn.
Cuối cùng, lựa chọn cơ sở y tế uy tín, nơi có các thiết bị siêu âm hiện đại và đội ngũ y bác sĩ chuyên nghiệp sẽ đảm bảo rằng những hình ảnh siêu âm thu được có độ chính xác cao và đáng tin cậy nhất. Việc chuẩn bị tốt trước khi siêu âm không chỉ là trách nhiệm của các bà mẹ mà còn thể hiện sự quan tâm và chu đáo dành cho thiên thần nhỏ bé đang lớn lên từng ngày trong bụng mẹ.
Quá trình thực hiện siêu âm hình thái
Quá trình thực hiện siêu âm hình thái thai nhi diễn ra trong một môi trường y tế chuyên nghiệp và an toàn, đảm bảo thu thập các thông tin cần thiết để đánh giá sức khỏe và sự phát triển của thai nhi. Đầu tiên, mẹ bầu sẽ được hướng dẫn nằm trên bàn khám, nơi bác sĩ sẽ bôi gel siêu âm lên vùng bụng. Gel này có tác dụng tăng cường độ dẫn truyền sóng âm, từ đó tạo ra hình ảnh rõ nét về các cơ quan bên trong.
Tiếp theo, bác sĩ sẽ sử dụng đầu dò siêu âm di chuyển trên vùng bụng để thu thập hình ảnh. Quá trình này thường kéo dài từ 15 đến 30 phút tùy thuộc vào việc thu thập hình ảnh cụ thể. Trong thời gian này, mẹ bầu có thể tham gia quan sát trực tiếp các hình ảnh của em bé được hiển thị trên màn hình, một trải nghiệm xúc động đối với nhiều người.
Các chỉ số quan trọng như nhịp tim, kích thước đầu, chiều dài xương và kích thước bụng của thai nhi sẽ được đo và ghi lại trong quá trình siêu âm. Những dữ liệu này sẽ giúp bác sĩ đưa ra các đánh giá tổng quan về sức khỏe và sự phát triển của thai nhi. Nếu phát hiện những bất thường, bác sĩ có thể đề xuất thêm các xét nghiệm hoặc phương pháp kiểm tra chuyên sâu khác để xác định rõ ràng các vấn đề.
Quá trình kết thúc khi tất cả các chỉ số cần thiết đã được ghi lại và bác sĩ sẽ thảo luận các kết quả với mẹ bầu. Đây là thời điểm để phụ huynh nhận được những giải đáp chi tiết từ bác sĩ và có những hướng dẫn cụ thể cho những bước tiếp theo trong quá trình chăm sóc thai kỳ.
Siêu âm hình thái không chỉ đóng vai trò quan trọng trong việc theo dõi sự phát triển của thai nhi mà còn tạo cơ hội cho các bậc phụ huynh thể hiện sự quan tâm và chăm sóc cho con yêu ngay từ khi còn trong bụng mẹ. Bằng cách thực hiện theo đúng quy trình chuyên môn, siêu âm hình thái giúp đảm bảo sức khỏe tốt nhất cho cả mẹ và bé, cùng chuẩn bị sẵn sàng cho những chặng đường sắp tới của hành trình làm cha mẹ.
So sánh các loại siêu âm thai

Việc so sánh các loại siêu âm thai giúp các bậc phụ huynh hiểu rõ hơn về sự khác biệt cũng như lợi ích riêng của từng kỹ thuật về cả mặt chẩn đoán lẫn trải nghiệm. Siêu âm hình thái và siêu âm 4D là hai trong số những phương pháp phổ biến nhất, mỗi loại mang lại những thông tin cụ thể khác nhau cho việc theo dõi sự phát triển của thai nhi. Trong khi siêu âm hình thái tập trung vào việc đánh giá chi tiết cấu trúc, sự phát triển của các cơ quan bên trong thai nhi để phát hiện dị tật, thì siêu âm 4D lại đưa đến những hình ảnh sống động, rõ nét và chân thực về em bé.
Sự khác biệt giữa siêu âm hình thái và siêu âm 4D

Để hiểu rõ sự khác biệt giữa siêu âm hình thái và siêu âm 4D, cần phải xem xét mục đích và thông tin mà mỗi loại này cung cấp cho cha mẹ và bác sĩ. Siêu âm hình thái, thường thực hiện vào khoảng từ tuần 18 đến 22, chú trọng vào việc kiểm tra chi tiết cấu trúc và chức năng của các cơ quan trọng như não, tim, thận và xương. Điều này rất quan trọng để phát hiện sớm các dị tật bẩm sinh, từ đó tạo điều kiện cho các can thiệp y tế kịp thời.
Mục tiêu của siêu âm hình thái là đánh giá sự phát triển toàn diện của thai nhi. Qua đó, bác sĩ có thể phát hiện các vấn đề tiềm ẩn về sức khỏe, giúp cha mẹ chuẩn bị tốt nhất cho quá trình mang thai và sinh đẻ. Bằng cách đo và đánh giá các chỉ số như đường kính lưỡng đỉnh, vòng đầu, vòng bụng và chiều dài xương đùi, siêu âm hình thái cung cấp một cái nhìn tổng quan về tình trạng phát triển của em bé.
Ngược lại, siêu âm 4D, thường được tiến hành từ tuần 24 đến 32 thai kỳ, nổi bật với khả năng tạo ra hình ảnh trong không gian ba chiều và cho phép quan sát chuyển động của em bé trong bụng mẹ theo thời gian thực. Điều này không chỉ đem lại trải nghiệm thú vị mà còn giúp các bậc phụ huynh nhìn thấy cử động, như là những cái nhăn nhó, cười, hay mút tay của con yêu, tạo ra sự kết nối tình cảm đặc biệt với thai nhi trước khi bé chào đời.
Điểm khác biệt lớn nhất giữa hai loại siêu âm này chính là mục tiêu và khả năng cung cấp thông tin chi tiết. Trong khi siêu âm hình thái nhấn mạnh vào khía cạnh y tế, giúp phát hiện và xử lý các dị tật bẩm sinh, thì siêu âm 4D lại tập trung vào việc tạo ra trải nghiệm trực quan, rõ nét cho cha mẹ. Do đó, lựa chọn giữa hai loại này thường phụ thuộc vào nhu cầu và hoàn cảnh cụ thể của từng thai kỳ cũng như lời khuyên từ các bác sĩ chuyên khoa.
Cả hai phương pháp đều có vai trò đặc biệt và quan trọng trong việc theo dõi sự phát triển của thai nhi. Việc kết hợp đúng đắn giữa siêu âm hình thái và 4D giúp các bậc phụ huynh không những đảm bảo sức khỏe của con từ trong bụng mẹ mà còn mang lại những khoảnh khắc đáng nhớ trong hành trình chào đón bé yêu.
Ưu nhược điểm của siêu âm hình thái so với các phương pháp khác

Trong lĩnh vực y học chẩn đoán thai nhi, siêu âm hình thái nổi bật lên như một công cụ cực kỳ quan trọng nhờ vào những ưu điểm rõ rệt khi so sánh với các phương pháp chẩn đoán khác như CT scan hay MRI. Trước hết, ưu điểm nổi bật nhất của siêu âm là tính an toàn, không sử dụng tia phóng xạ, do đó không gây ra các nguy cơ về bức xạ cho thai nhi, điều mà các phương pháp như CT scan không thể đảm bảo. Điều này làm cho siêu âm hình thái trở thành lựa chọn hàng đầu trong suốt thai kỳ mà không gây lo ngại về tác động tiêu cực lâu dài.
Ngoài ra, siêu âm hình thái mang lại một loạt các chỉ số quan trọng để theo dõi sự phát triển toàn diện của thai nhi. Từ đo kích thước vòng đầu, đường kính lưỡng đỉnh tới chiều dài xương đùi, những dữ liệu này cung cấp bức tranh toàn diện về sức khỏe và sự phát triển của bé. Đồng thời, với chi phí thấp hơn so với các phương pháp chụp chiếu hiện đại khác, siêu âm hình thái dễ dàng hơn để tiếp cận trong môi trường chăm sóc sức khỏe phổ thông.
Tuy nhiên, nhược điểm của siêu âm hình thái cũng cần được lưu ý. Do siêu âm không thể cho thấy hình ảnh rõ nét ở những khu vực có chứa khí hoặc xương, nó có thể gặp khó khăn trong việc chẩn đoán tình trạng của các cơ quan như phổi hoặc hệ tiêu hóa. Độ chính xác của siêu âm cũng phụ thuộc vào tay nghề của bác sĩ và chất lượng của thiết bị.
Trong khi CT scan và MRI có thể cung cấp hình ảnh chi tiết ở những khu vực này, đặc biệt là trong các trường hợp cần chẩn đoán chuyên sâu về các bệnh lý phức tạp, việc sử dụng chúng trong thai kỳ phải được xem xét cẩn trọng do liên quan đến tia bức xạ và thời gian chụp dài.
Có thể hiểu, dù siêu âm hình thái không phải là phương pháp hoàn hảo dành cho tất cả các bệnh lý, nhưng lợi thế về an toàn và chi phí đã khiến nó trở thành lựa chọn ưu tiên trong chăm sóc sức khỏe thai kỳ. Sự linh hoạt và hiệu quả của phương pháp này trong việc chẩn đoán các dị tật bẩm sinh cũng như theo dõi sự phát triển của thai nhi đã đảm bảo rằng siêu âm hình thái là một phần không thể thiếu trong các cuộc kiểm tra định kỳ của các bà mẹ mang thai.
Những lưu ý khi thực hiện siêu âm hình thái thai nhi

Mặc dù siêu âm hình thái đóng vai trò quan trọng trong quá trình theo dõi thai kỳ, việc hiểu rõ những lưu ý và chuẩn bị kỹ lưỡng trước khi tiến hành là điều cần thiết. Trước khi bước vào phòng siêu âm, mẹ bầu cần nắm bắt rõ những yêu cầu cơ bản từ bác sĩ và thực hiện đúng theo hướng dẫn để đảm bảo thu thập được những thông tin chính xác nhất. Hiểu rõ và lựa chọn đúng loại siêu âm cũng như thời điểm thích hợp là cách tốt nhất đảm bảo sức khỏe của cả mẹ và con.
Các chỉ số cần lưu ý trong kết quả siêu âm

Trong quá trình siêu âm hình thái thai nhi, việc theo dõi và hiểu rõ các chỉ số thu được có ý nghĩa thiết thực đối với việc đánh giá sự phát triển của thai nhi. Một trong những chỉ số quan trọng hàng đầu là vòng đầu (HC – Head circumference), giúp đo kích thước vùng đầu và đánh giá mức độ phát triển của não bộ. Sự bất thường trong chỉ số này có thể liên quan đến các dị tật thần kinh, đòi hỏi sự chú ý đặc biệt để có thể can thiệp sớm.
Đường kính lưỡng đỉnh (BPD – Biparietal diameter) là một chỉ số khác cần lưu ý, nó đo khoảng cách giữa hai phần thái dương và cho biết kích thước, hình dạng cơ bản của đầu thai nhi. Chỉ số này thường được so sánh với chiều dài xương đùi (FL – Femur length), nhằm kiểm tra sự cân đối phát triển giữa kích thước não và vóc dáng. Việc đảm bảo rằng các chỉ số này nằm trong phạm vi bình thường là điều quan trọng để xác nhận sức khỏe tốt của thai nhi.
Vòng bụng (AC – Abdominal circumference) cũng là một chỉ số quan trọng, phản ánh sự phát triển tổng quát của thai nhi, trong đó có việc tích tụ mỡ và sự hấp thu dưỡng chất từ mẹ qua dây rốn. Việc cân bằng giữa chiều dài xương đùi và vòng bụng giúp dự đoán cân nặng thai nhi một cách tương đối chính xác, từ đó giúp bác sĩ đưa ra các tư vấn dinh dưỡng và chăm sóc hợp lý cho mẹ.
Cuối cùng, cân nặng ước tính của thai nhi (EFW – Estimated Fetal Weight) được tính dựa trên các chỉ số khác nhau, là thước đo tổng quan cho biết khả năng sinh trưởng và mức độ khoẻ mạnh. Khi hiểu rõ các chỉ số này, mẹ bầu sẽ có cơ hội trực tiếp thảo luận với bác sĩ về tình hình cụ thể của thai nhi, từ đó có các biện pháp can thiệp và điều chỉnh kịp thời để đảm bảo sức khỏe của bé và mẹ.
Thời gian tái khám sau siêu âm hình thái

Sau khi thực hiện siêu âm hình thái, việc tái khám và kiểm tra lại các chỉ số là rất quan trọng để theo dõi tiến trình phát triển của thai nhi một cách liên tục và chi tiết. Theo dõi và kiểm tra đều đặn không chỉ giúp phát hiện kịp thời những vấn đề bất thường mới phát sinh mà còn giúp xác định mức độ thích hợp của những can thiệp y tế đã thực hiện. Kế hoạch tái khám sau siêu âm hình thái thường được thực hiện theo lịch trình định kỳ do bác sĩ khuyến nghị, dựa vào kết quả từ lần siêu âm trước.
Đối với những mẹ bầu có kết quả siêu âm bình thường, bác sĩ thường khuyến nghị quay lại sau một khoảng thời gian từ 4 đến 6 tuần. Mục đích của các cuộc hẹn này là để kiểm tra các bước phát triển mới của thai nhi cũng như điều chỉnh tư vấn chăm sóc y tế nếu cần.
Tuy nhiên, nếu bác sĩ phát hiện bất kỳ dấu hiệu không bình thường nào trong quá trình siêu âm, việc tái khám có thể được lịch sớm hơn để đảm bảo việc giám sát chặt chẽ và kịp thời. Những chỉ số như vòng đầu, đường kính lưỡng đỉnh, nhịp tim sẽ được quan sát cẩn thận trong mỗi lần kiểm tra. Trong những trường hợp này, bác sĩ có thể đề xuất thêm các xét nghiệm bổ sung hoặc chẩn đoán hình ảnh để có cái nhìn toàn diện nhất về tình hình.
Tái khám không chỉ giúp duy trì sự an tâm cho mẹ bầu mà còn đảm bảo rằng mọi điều kiện sức khỏe đang được kiểm soát sát sao. Việc tuân thủ lịch tái khám đều đặn giúp gia đình có thể chuẩn bị tốt nhất cho ngày con chào đời, qua đó nâng cao sự an toàn và thoải mái của cả bé và mẹ trong suốt quá trình sinh nở.
Kết luận về tầm quan trọng của siêu âm hình thái thai nhi

Nhìn chung, siêu âm hình thái thai nhi là một phương tiện quan trọng và không thể thiếu trong việc theo dõi quá trình phát triển của thai nhi. Chi tiết hóa được những thông tin cần thiết, từ cấu trúc cơ thể cho đến các chỉ số cơ bản của thai nhi, siêu âm đã trở thành một công cụ đắc lực giúp bác sĩ và phụ huynh giám sát sức khỏe của thai nhi một cách toàn diện. Với những lần siêu âm đúng thời điểm, các bậc cha mẹ không chỉ có cơ hội phát hiện sớm các dị tật tiềm ẩn mà còn có thể chủ động trong việc xây dựng kế hoạch chăm sóc và điều chỉnh phù hợp để chào đón bé yêu một cách an toàn và khỏe mạnh.
Câu hỏi thường gặp (FAQs)
-
Tuần nào là thời điểm tốt nhất để thực hiện siêu âm hình thái thai nhi?
- Các tuần lý tưởng là 11-14, 18-22, 30-32.
-
Siêu âm hình thái khác gì so với siêu âm 4D?
- Siêu âm hình thái tập trung vào cấu trúc và dị tật, còn 4D tạo ra hình ảnh động, rõ nét về bề ngoài của bé.
-
Việc tái khám sau khi siêu âm hình thái có cần thiết không?
- Có, tái khám đảm bảo giám sát sự phát triển liên tục của thai nhi.
-
Tôi có cần chuẩn bị gì trước khi đi siêu âm không?
- Uống nhiều nước để bàng quang đầy và mặc đồ thoải mái nếu siêu âm qua đường bụng.
-
Nên chọn siêu âm hình thái hay MRI cho chẩn đoán chi tiết về thai nhi?
- Siêu âm hình thái thường được ưu tiên do an toàn, không phóng xạ và chi phí thấp hơn.
Điểm cần nhớ (Key Takeaways)
- Siêu âm hình thái giúp phát hiện sớm các dị tật và theo dõi sự phát triển của thai nhi.
- Thời điểm quan trọng: tuần 11-14, 18-22, 30-32.
- Chuẩn bị đúng cách trước khi siêu âm để có kết quả chính xác.
- So với MRI, siêu âm an toàn hơn và không sử dụng phóng xạ.
Kết luận
Siêu âm hình thái thai nhi trở thành một công cụ không thể thiếu trong hành trình kiểm tra và bảo vệ sức khỏe của thai nhi. Với khả năng đánh giá chi tiết cấu trúc và phát hiện sớm các dị tật, siêu âm định hình một cách rõ nét những thông tin cần thiết cho suốt quá trình mang thai. Việc hiểu rõ và thực hiện siêu âm đúng thời điểm không chỉ giúp cô nàng thai nhi nhận được sự chăm sóc tốt nhất mà còn giúp gia đình tự tin chuẩn bị cho cuộc sống mới đón chào thiên thần bé bỏng. Sự kết hợp giữa y học hiện đại và tình cảm chân thành từ bố mẹ chắc chắn sẽ mang lại một hành trình an toàn và ý nghĩa cho cả mẹ và bé.
Siêu âm thai hình thái, Siêu âm thai nhi, Thời điểm siêu âm, Dị tật thai nhi, Siêu âm 4D, Chuẩn bị siêu âm, Kết quả siêu âm, Tái khám siêu âm, Phát hiện sớm thai nhi.







